Case 1 Top left lateral incisor fractured root Before After Case 2 Missing top right 2nd premolar and 1st molar Before After Case 3 Replaced top 1st molar Before After
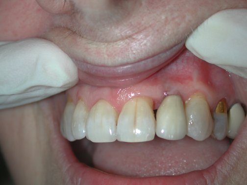
Case 1 Top left lateral incisor fractured root Before
After
Case 2 Missing top right 2nd premolar and 1st molar
Before After
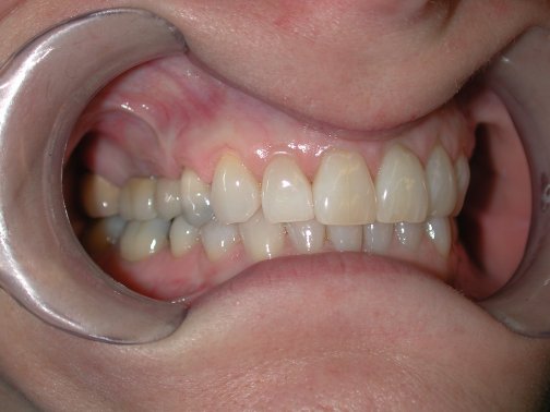
Case 3 Replaced top 1st molar
Before