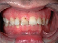
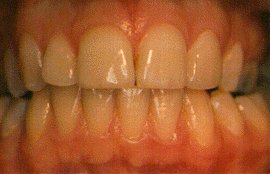
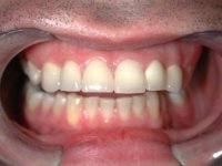
Cosmetic treatments 


Porcelain veneers
The change can be dramatic and give a big boost in confidence
 

  Before   After


   After   
After


 

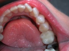
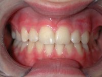
Porcelain inlay
 

  Before After



 

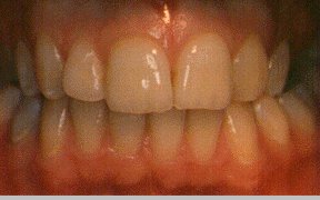
Whitening

            Before After


          Before  
 After

 
 

Cosmetic contouring
Subtle changes to the shape of the teeth can create the illusion of correctly positioned teeth.
 

        Before   After


 

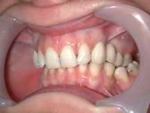
Bridgework
Linking crowns to close gaps improves the bite and aesthetics. It is an alternative option to a denture or an implant supported crown. The downside is teeth have to be filed down, so it is not a conservative option.

Before After



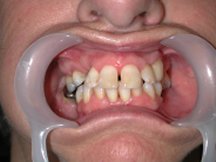
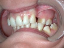
Makeover
This case involved dealing with many issues: gaps, teeth protruding, altered gum levels and a collapsed bite.

Before After